Tratamento rápido e seguro para substituir um ou mais dentes perdidos.
Mais de 22 anos de experiência em Reabilitação Oral com Implantes.
Com os Implantes Dentários, você pode voltar a sorrir sem medo, mastigar alimentos duros e aumentar a sua autoestima. Não importa se você perdeu um ou mais dentes, os implantes dentários são a melhor e mais segura alternativa para sua reabilitação oral.





A paixão pela odontologia me motiva a buscar sempre o melhor para meus pacientes. Nestes mais de 22 anos de profissão, além das especializações em dentística e radiologia, realizei diversas atualizações em implantes dentários, prótese, cirurgia avançada, enxerto, manipulação de tecidos moles, harmonização orofacial e na inovadora técnica de implante All-on-Four.
Hoje, sinto orgulho dos inúmeros casos de reabilitação oral e odontologia estética bem-sucedidos realizados em pacientes de toda a região de Santa Rosa/RS. Com tecnologia de última geração e materiais de alta qualidade, minha abordagem é completamente personalizada, visando sempre superar as expectativas dos meus pacientes.
Empregamos técnicas avançadas de implante dentário. Em alguns casos é possível concluir todo o tratamento em apenas 1 ou 2 consultas. Oferecemos um procedimento rápido, indolor e seguro para que você possa ter todos os seus dentes fixos novamente.

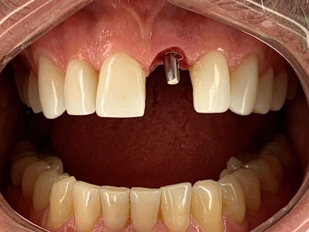
A melhor solução para quem perdeu um único dentes. Procedimento simples e rápido. Muito utilizado em casos de fraturas dentárias e tratamentos estéticos.

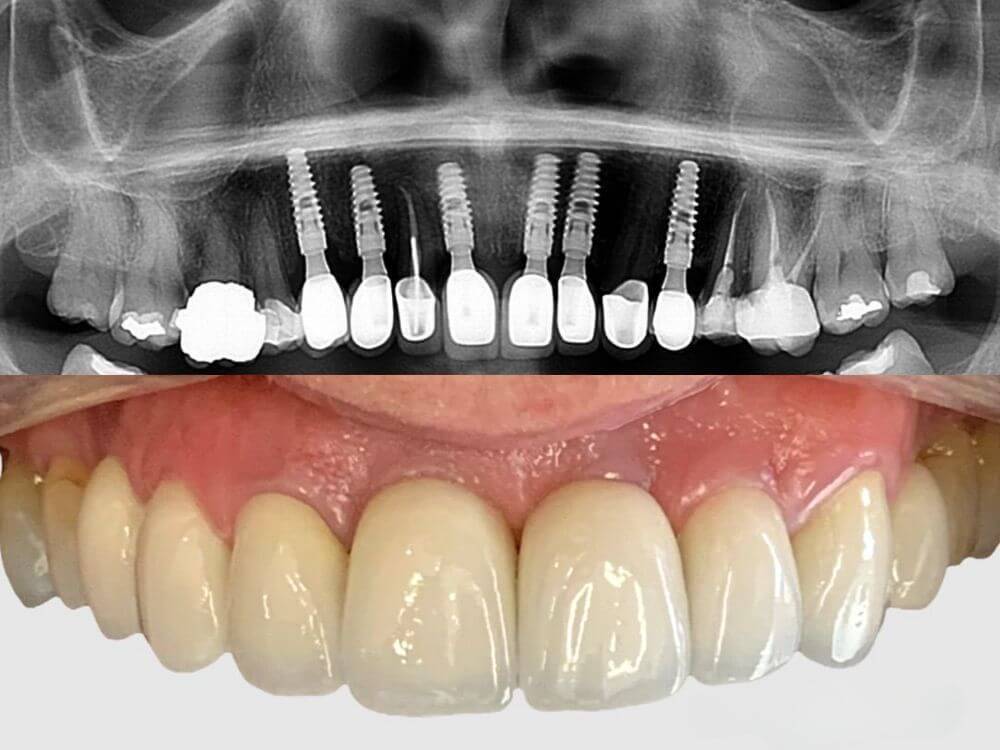
Com apenas 4 implantes é possível instalar uma prótese fixa com todos os dentes da arcada. Não necessita enxerto ósseo. Solução rápida e altamente eficaz.

Implantes e a prótese são instalados no mesmo dia. Resultados estéticos e funcionais rápidos. Em até 72 horas, seu sorriso é completamente reconstruído.

Uma prótese total fixa sobre implantes para quem perdeu todos os dentes de uma arcada. Recupera a força na mastigação e elimina desconforto ao falar e mastigar.

Procedimento para aumentar a quantidade de osso. Realizado quando o paciente perdeu muito osso após a extração de um ou mais dentes.

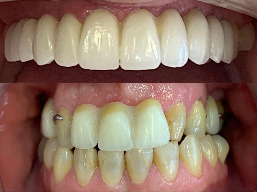
Tratamento que exige um planejamento altamente eficaz em casos complexos. Visa a reposição de múltiplos dentes perdidos utilizando implantes dentários.















Experimente uma transformação significativa em sua vida. Imagine o prazer de sorrir novamente com confiança, desfrutar das refeições sem preocupações e exibir um sorriso impressionante em todas as ocasiões, seja em um evento especial ou no seu dia a dia.
Já ajudamos milhares de pacientes! Agora é a sua vez!
Perder um dente pode impactar sua saúde, autoestima e qualidade de vida.
Com o tempo, a ausência de um dente não substituído pode causar o desalinhamento de toda a arcada dentária. Além disso, uma reabilitação oral inadequada pode resultar em problemas estéticos e de fala, podendo até acentuar o aparecimento de rugas faciais ao longo do tempo.
Ao adiar a colocação de implantes, pode ocorrer uma perda significativa de osso, exigindo enxertos ósseos no futuro. Os implantes dentários não apenas evitam a deterioração óssea, mas também ajudam a prevenir outros problemas de saúde bucal relacionados à perda dentária.
Não espere mais. Dê o primeiro passo para recuperar o seu sorriso hoje mesmo!

Com certeza! Não importa há quanto tempo você perdeu os dentes, os implantes dentários ainda são uma opção viável. A tecnologia de implantes dentários avançou significativamente nos últimos anos, tornando os implantes uma solução eficaz e segura para pessoas que perderam dentes há muito tempo.
Você não necessita mais sofrer com próteses móveis desconfortáveis e dentaduras machucando, nem mesmo sentir insegurança ao sorrir ou falar.
Faça como muitos de nossos paciente, em poucas consultas conquiste o sorriso que você merece!

Diva Rigo28/05/2024 Ótima Lucian Zorzan Andreola21/05/2024 Recomendo de olhos fechados, 😍 voltei a amar meu sorriso e minha autoestima aumentou em muito com o trabalho do Dr. Aline Klein20/05/2024 Ótima. Excelente atendimento. ERTON GROHE26/04/2024 Um atendimento de excelência, resultado melhor do que o esperando. Paulo Almeida09/03/2024 Um profissional extremamente competente, recomendo. Rosangela Williams29/02/2024 Não há dinheiro no mundo que pague a sensação prazerosa de poder sorrir❤️. Gostaria de agradecer imensamente o Dr. Humberto Berwanger e sua equipe pelo excelente atendimento, profissionalismo, dedicaçao e cuidados que tiverem comigo durante o meu tratamento. Sempre tive pânico de dentista até fazer uma visita e conhecer o Dr. Humberto, meu parente🥰 e graças a Deus tudo mudou. Desde a primeira consulta fui sempre recebida com sorrisos e um abraço pelo Dr. Humberto e assistentes, Gerusa e Pâmela, isso fez uma grande diferença. Meu tratamento e implantes foi muito tranquilo, SEM DOR alguma e o mais importante, extremamente agradecida e feliz com o resultado exepcional. Competência, profissionalismo, dedicação e ética são apenas algumas das suas muitas qualidades. Só tenho a agradecer, sorrir muito😍😁 e parabenizá-lo por tudo Dr. Humberto. Muito obrigada! 😚❤️ Laura Berwanger21/02/2024 Melhor dentista de todos 🤩 Amanda Berwanger21/02/2024 melhor dentista da região!! recomendo de olhos fechados🫶 leide anizeli beutler25/05/2023 Sou paciente a anos.confio demais carline nikodem25/05/2023 Excelente
Nossa equipe não mede esforços para proporcionar o melhor atendimento. Com anos de experiência e dedicação, trabalhamos em perfeita sintonia para garantir que cada paciente receba um cuidado odontológico personalizado e de alta qualidade.
Se tiver alguma dúvida sobre nosso atendimento, entre em contato. Estamos sempre prontos para ajudar.

Os implantes dentários são dispositivos de titânio que são inseridos no osso da mandíbula ou maxila para substituir a raiz de um dente perdido. Os implantes são então cobertos com uma coroa, ponte ou prótese para restaurar a aparência e a função dos dentes perdidos.
Sim, os implantes dentários podem ser feitos por qualquer pessoa, desde que possua boa condição de saúde bucal e geral.
A duração do tratamento varia de acordo com a complexidade do caso. Em geral, o tratamento com implantes dentários pode levar de 4 a 6 meses para ser concluído, mas há alguns casos que podem ser resolvidos quase que imediatamente, é o caso dos implantes com carga imediata.
Em geral, após a recuperação você pode voltar a comer o que quiser.
Não, a cirurgia de implante dentário é realizada sob anestesia local ou geral, o que significa que você não sentirá dor durante o procedimento.
Sim. Mas existem alguns cuidados para que o procedimento seja realizado com segurança e alcance o resultado esperado.
O custo varia de acordo com uma série de informações como o número de dentes a serem substituídos, o tipo de implante e a técnica utilizada. No entanto, é um tratamento financeiramente acessível para a maioria dos pacientes que nos procuram.
Os implantes dentários podem durar por toda a vida. Eles podem ser considerados uma solução permanente para a perda de dentes. Mas como qualquer tratamento odontológico, também exigem cuidados adequados de higiene e manutenção.
Rua Buriti, 140, Sala 01
Rua Uruguai, 246
Copyright © 2024. Todos os direitos reservados. Dr. Humberto Berwanger – Cirurgião-dentista CRO/RS 12712